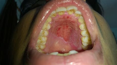
Allergic Reaction To Pineapple Can Cause Mouth Sores And Hives
Aug 24, 2024 · Prevention Preventing allergic reactions depends on the type of allergy you have. General measures include the following: Stay away from known triggers. Do this even if you get. Allergic rhinitis Allergic rhinitis is where your nose gets irritated by something you're allergic to, such as pollen, causing sneezing and other symptoms. For most people it's easy to treat with medicines from. Find out more about food allergies, including what the symptoms are, what can cause them and how they're treated. Antihistamines are a type of medicine often used to treat allergies. Find out about the different types, who can take them and what side effects they can cause. Anaphylaxis is a life-threatening allergic reaction that happens very quickly. It can be caused by food, medicine or insect stings. Call 999 if you think you or someone else is having an anaphylactic.
Find out about having an allergic reaction to hair dye, the signs and symptoms, how to prevent it and how to treat it. Aug 24, 2024 · Often, this is the most important step in preventing allergic reactions and curbing symptoms. Medicines. Depending on your allergy, medicines can help turn down your immune.
Can Vaping Cause Mouth Sores - EMSEKFLOL.COM
